Tos crónica
Antecedentes
Paciente de 19 años de edad con antecedentes de infecciones pulmonares repetidas. Tuvo problemas de tos y producción de esputo en los primeros 2 años de su vida y fue diagnosticado como bronquítico. Durante los siguientes 14 años, a menudo se mostraba «tosiento» y había perdido 4 a 5 semanas del año escolar. En los últimos 2 años se han intensificado sus síntomas y fue ingresado en el hospital en tres ocasiones con tos y esputo purulento. En sus dos primeros ingresos se cultivó Haemophilus influenzae en el esputo, y en la última ocasión, 2 meses antes, se aisló del esputo Pseudomonas aeruginosa al momento del ingreso al hospital. Aún presenta tos productiva con abundante esputo. Aunque se ha recuperado en gran medida de la infección, su madre está preocupada y quisiera que arrojara aún más esputo. El informe del laboratorio de microbiología muestra que hay un escaso crecimiento de Pseudomonas en el cultivo del esputo. No hay antecedentes familiares de alguna enfermedad pulmonar grave. En el interrogatorio se encuentra que su apetito es razonable y su micción es normal, aunque sus movimientos intestinales tienden a ser irregulares.
Examen físico
En el examen se encuentra un paciente delgado, que pesa 48 kg y mide 1.6 m.
- El único dato encontrado en el tórax es de algunas crepitaciones inspiratorias sobre los campos superiores de ambos pulmones. Tanto el examen cardiovascular como el abdominal resultaron normales.
Exámenes
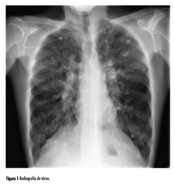
La radiografía de tórax se muestra en la figura 1.

Comentarios
La radiografía de tórax muestra sombras anormales en ambos pulmones, más marcadas en los dos lóbulos superiores, con algunas sombras en anillo y sombras tubulares que representan paredes bronquiales engrosadas. Estos datos serían compatibles con un diagnóstico de bronquiectasia. Las arterias pulmonares son prominentes, lo que sugiere un grado de hipertensión pulmonar. La distribución es típica de la que se encuentra en la fibrosis quística, donde los cambios son más evidentes en los lóbulos superiores. La mayoría de las otras formas de bronquiectasias tienen más probabilidades de ocurrir en los lóbulos inferiores, donde el drenaje por gravedad es menos eficaz. La tomografía computarizada (TC) de alta resolución de los pulmones es la mejor manera de diagnosticar la bronquiectasia y definir su extensión y distribución. En pacientes más jóvenes y casos leves de fibrosis quística, los microorganismos predominantes en el esputo son Haemophilus influenzae y Staphylococcus aureus. Más tarde, a medida que se produce más daño pulmonar, Pseudomonas aeruginosa es un patógeno común. Una vez presente en los pulmones en la fibrosis quística, es difícil o imposible eliminarla por completo.
Siempre debe considerarse fibrosis quística cuando hay antecedentes de infecciones pulmonares repetidas en una persona joven. Aunque se presenta con mayor frecuencia por debajo de los 20 años de edad, el diagnóstico puede retrasarse hasta los 20, 30 o incluso 40 años en casos más leves. Los problemas relacionados ocurren en el páncreas (malabsorción, diabetes), senos paranasales e hígado. Se ha hecho evidente que algunos pacientes se ven afectados de manera más leve, en especial aquellos con las variantes genéticas menos comunes. Estos casos más leves sólo pueden verse afectados por los problemas torácicos de la fibrosis quística y tienen poca o ninguna malabsorción por la insuficiencia pancreática.
La prueba de diagnóstico común para la fibrosis quística es la determinación de electrólitos en el sudor, donde hay una concentración anormalmente elevada de sodio y cloruro. A la edad de 19 años, la prueba de sudor puede ser menos confiable. Es más específica si se repite después de la administración de fludrocortisona. Una alternativa sería medir la diferencia potencial a través del epitelio nasal en una institución especializada en fibrosis quística. La fibrosis quística tiene herencia autosómica recesiva, encontrando la anormalidad genética más común (ΔF508) en el 85% de los casos. El gen es responsable de la proteína que controla el transporte de cloruro a través de la membrana celular. Se pueden identificar las anomalías genéticas más comunes y la batería actual de pruebas genéticas identifica más del 95% de los casos. Sin embargo, la ausencia de ΔF508 y otras anormalidades comunes no descartarían la fibrosis quística relacionada con las variantes genéticas menos comunes. En etapas posteriores, se puede considerar el trasplante de pulmón. Desde la identificación de la anormalidad genética han iniciado ya los ensayos de terapia de reemplazo génico.
Diagnóstico diferencial
El diagnóstico diferencial en este paciente incluiría otras causas de bronquiectasia difusa, como la agammaglobulinemia o el síndrome de cilios inmóviles (discinesia ciliar primaria). La función respiratoria debe medirse para determinar el grado de deterioro funcional. La bronquiectasia en los lóbulos superiores puede ocurrir en la tuberculosis o en aspergilosis broncopulmonar alérgica asociada con asma.
Puntos clave
- Las formas más leves de fibrosis quística pueden presentarse en la adolescencia y la edad adulta.
- Las formas más leves a menudo están relacionadas con anormalidades genéticas menos comunes.
- Una tomografía computarizada de alta resolución es la mejor manera de detectar bronquiectasias y definir su extensión.












